Dragonfly-Med Model Card
Note: Users are permitted to use this model in accordance with the Llama 3 Community License Agreement. Additionally, due to the licensing restrictions of the dataset used to train this model, which prohibits commercial use, the Dragonfly-Med model is restricted to non-commercial use only.
Model Details
Dragonfly-Med is a multimodal biomedical visual-language model, trained by instruction tuning on Llama 3.
- Developed by: Together AI
- Model type: An autoregressive visual-language model based on the transformer architecture
- License: Llama 3 Community License Agreement
- Finetuned from model: Llama 3
Model Sources
- Repository: https://github.com/togethercomputer/Dragonfly
- Blog: https://www.together.ai/blog/dragonfly-v1
- Paper: https://arxiv.org/abs/2406.00977
Uses
The primary use of Dragonfly-Med is research on large visual-language models. It is primarily intended for researchers and hobbyists in natural language processing, machine learning, and artificial intelligence.
How to Get Started with the Model
πΏ Installation
Create a conda environment and install necessary packages
conda env create -f environment.yml
conda activate dragonfly_env
Install flash attention
pip install flash-attn --no-build-isolation
As a final step, please run the following command.
pip install --upgrade -e .
π§ Inference
If you have successfully completed the installation process, then you should be able to follow the steps below.
Question: Provide a brief description of the given image.
Load necessary packages
import torch
from PIL import Image
from transformers import AutoProcessor, AutoTokenizer
from dragonfly.models.modeling_dragonfly import DragonflyForCausalLM
from dragonfly.models.processing_dragonfly import DragonflyProcessor
from pipeline.train.train_utils import random_seed
Instantiate the tokenizer, processor, and model.
device = torch.device("cuda:0")
tokenizer = AutoTokenizer.from_pretrained("togethercomputer/Llama-3-8B-Dragonfly-Med-v1")
clip_processor = AutoProcessor.from_pretrained("openai/clip-vit-base-patch32")
image_processor = clip_processor.image_processor
processor = DragonflyProcessor(image_processor=image_processor, tokenizer=tokenizer, image_encoding_style="llava-hd")
model = DragonflyForCausalLM.from_pretrained("togethercomputer/Llama-3-8B-Dragonfly-Med-v1")
model = model.to(torch.bfloat16)
model = model.to(device)
Now, lets load the image and process them.
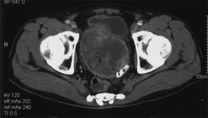
image = Image.open("ROCO_04197.jpg")
image = image.convert("RGB")
images = [image]
# images = [None] # if you do not want to pass any images
text_prompt = "<|start_header_id|>user<|end_header_id|>\n\nSummarize the visual content of the image.<|eot_id|><|start_header_id|>assistant<|end_header_id|>\n\n"
inputs = processor(text=[text_prompt], images=images, max_length=2048, return_tensors="pt", is_generate=True)
inputs = inputs.to(device)
Finally, let us generate the responses from the model
temperature = 0
with torch.inference_mode():
generation_output = model.generate(**inputs, max_new_tokens=1024, eos_token_id=tokenizer.encode("<|eot_id|>"), do_sample=temperature > 0, temperature=temperature, use_cache=True)
generation_text = processor.batch_decode(generation_output, skip_special_tokens=False)
An example response.
Computed tomography scan showing a large heterogenous mass in the pelvis<|eot_id|>
Training Details
See more details in the "Implementation" section of our paper.
Evaluation
See more details in the "Results" section of our paper.
π Credits
We would like to acknowledge the following resources that were instrumental in the development of Dragonfly:
- Meta Llama 3: We utilized the Llama 3 model as our foundational language model.
- CLIP: Our vision backbone is CLIP model from OpenAI.
- Our codebase is built upon the following two codebases:
π BibTeX
@misc{chen2024dragonfly,
title={Dragonfly: Multi-Resolution Zoom Supercharges Large Visual-Language Model},
author={Kezhen Chen and Rahul Thapa and Rahul Chalamala and Ben Athiwaratkun and Shuaiwen Leon Song and James Zou},
year={2024},
eprint={2406.00977},
archivePrefix={arXiv},
primaryClass={cs.CV}
}
Model Card Authors
Rahul Thapa, Kezhen Chen, Rahul Chalamala
Model Card Contact
Rahul Thapa ([email protected]), Kezhen Chen ([email protected])
- Downloads last month
- 4
